※全て税込み表示
※保定装置代(リテーナー)も含んだ金額です
- 初診相談
- ¥0
- 精密検査・診断
- ¥44,000
- 通院ごとの処置料
- ¥0
- ワイヤー矯正
- ¥165,000~
- マウスピース型矯正装置(インビザライン・アソアライナー)
- ¥220,000~
- コンビネーション矯正(ワイヤー+マウスピース)
- ¥385,000~
minor tooth movement
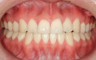
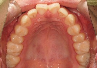
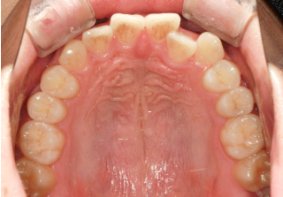
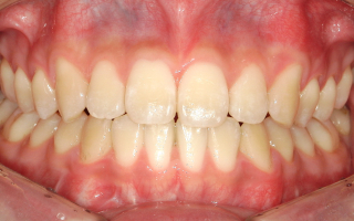
中野みらい矯正歯科では、部分矯正治療をご希望されている方の歯並びや噛み合わせ、口元の状態などから、大きく3つに分類をしてカウンセリングをしています。
こちらに当てはまる方で、全体矯正の方がいいのはわかっているけれど、様々な理由や事情で部分矯正で出来るところまで治せないかな?とお考えの方は多くいらっしゃいます。
当院では、そういった気持ちにしっかり寄り添って、その方にあわせた治療プランと、部分矯正で改善するところ、しないところや、リスクも含めてご説明いたします。
そのうえで、治療期間や治療費などとも照らし合わせて、部分矯正がその方に適している場合もあります。
部分矯正をしても主訴が改善されない、噛み合わせに異常が出る可能性があるといった場合は、専門家として丁寧にご説明させていただきます。
部分矯正では難しいかなと矯正治療を諦めてしまっていた方も、ぜひ一度ご相談ください。
※全て税込み表示
※保定装置代(リテーナー)も含んだ金額です
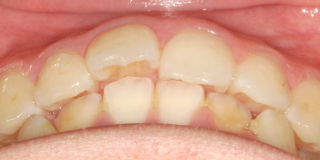
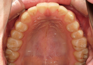
歯と歯の間を少しずつ削り、歯を動かすスペースを確保する目的で行います。
0.1mm単位で削っていくので痛みはなく、IPRにより虫歯になりやすくなるといったことはございませんのでご安心ください。
歯列が狭かったり、V字になっていることにより歯並びが悪くなっている場合、歯を外側に広げてスペースを確保する目的で行います。
ただし、成人は骨の成長が完了しているため無理をして広げると歯の根っこが骨から出てしまう可能性があります。
そのため、成人に行う際は特に注意と事前の診断が重要になります。
インビザライン・ライトは、14枚のマウスピースで治療を行う矯正装置で、部分矯正や、矯正治療後の後戻りなどに適しているマウスピース矯正治療です。
通常のインビザラインと比べ、マウスピースの枚数に制限があるため、費用が抑えられ、治療期間も短く済むメリットがあります。
しかし、適用症例が限られる(軽度の不正歯列など)ことや、治療途中で治療のゴールを変更することが困難であるなどのデメリットもあります。
インビザライン・ライトではマウスピースの枚数が決まっているため治療のゴールが患者様自身でも見えやすく、治療に対するモチベーションが保ちやすいというのも大きなメリットです。


はい、できます。
想定される治療期間に応じて最大6回から12回まで、院内分割払いが可能です。
手数料、金利は発生いたしません。
それ以上の分割をご希望の場合でも、デンタルローンがご利用いただけます。
はい、可能です。
ただし、「部分矯正で前歯が綺麗に並んでいる」=「治療期間が短縮される」わけではありません。
結婚式や成人式など特別なイベントまでに前歯だけでも綺麗にして、その後全体的に矯正をして口元を引っ込めたい。といったご要望もございますのでお気軽にご相談ください。
歯を動かす期間は3ヶ月から1年くらいになるケースが多いです。
部分矯正でも保定は必要ですので、保定期間中もメインテナンスで通っていただいています。
| 日 | 月 | 火 | 水 | 木 | 金 | 土 | ||||||||||||||
|---|---|---|---|---|---|---|---|---|---|---|---|---|---|---|---|---|---|---|---|---|
| ||||||||||||||||||||
| ||||||||||||||||||||
| ||||||||||||||||||||
| ||||||||||||||||||||
| ||||||||||||||||||||
休診日
\ 公式インスタグラムはじめました! /
Follow Us